traumatología VETERINARIA
EN Talavera de la Reina
Traumatología

La Traumatología y Ortopedia son las ciencias que estudian la reparación de lesiones óseas, articulares y ligamentosas producidas por traumatismos o enfermedades hereditarias.
Nuestro personal altamente cualificado junto con unos medios de última tecnología, nos permiten un preciso diagnóstico y su resolución quirúrgica.
Frase que atraiga la atención del visitante.
Veterinarios con una amplia formación en traumatología,
Artrodesis
Es una cirugía que consiste en fusionar articulaciones que tienen problemas de inestabilidad, dolor o artrosis, para eliminar el dolor y tener una buena funcionalidad y calidad de vida.
Se colocan placas especiales con tornillos, que adaptados a la forma que queremos que la articulación adopte una vez fusionada.
Artroscopia
Lo más habitual es la artroscopia de codo y de hombro, y nos sirve para diagnosticar y tratar
problemas como la displasia de codo, fragmentación de proceso coronoides, osteocondritis disecante (OCD), inestabilidad medial de hombro, y otros problemas articulares.
Las principales ventajas radican en el tiempo de recuperación postquirúrgica, que suele ser mucho más rápido que con la cirugía tradicional.
Frase que atraiga la atención del visitante.
¿Necesitas radiografías oficiales de cadera?
Estamos acreditados para hacer las de cualquier raza
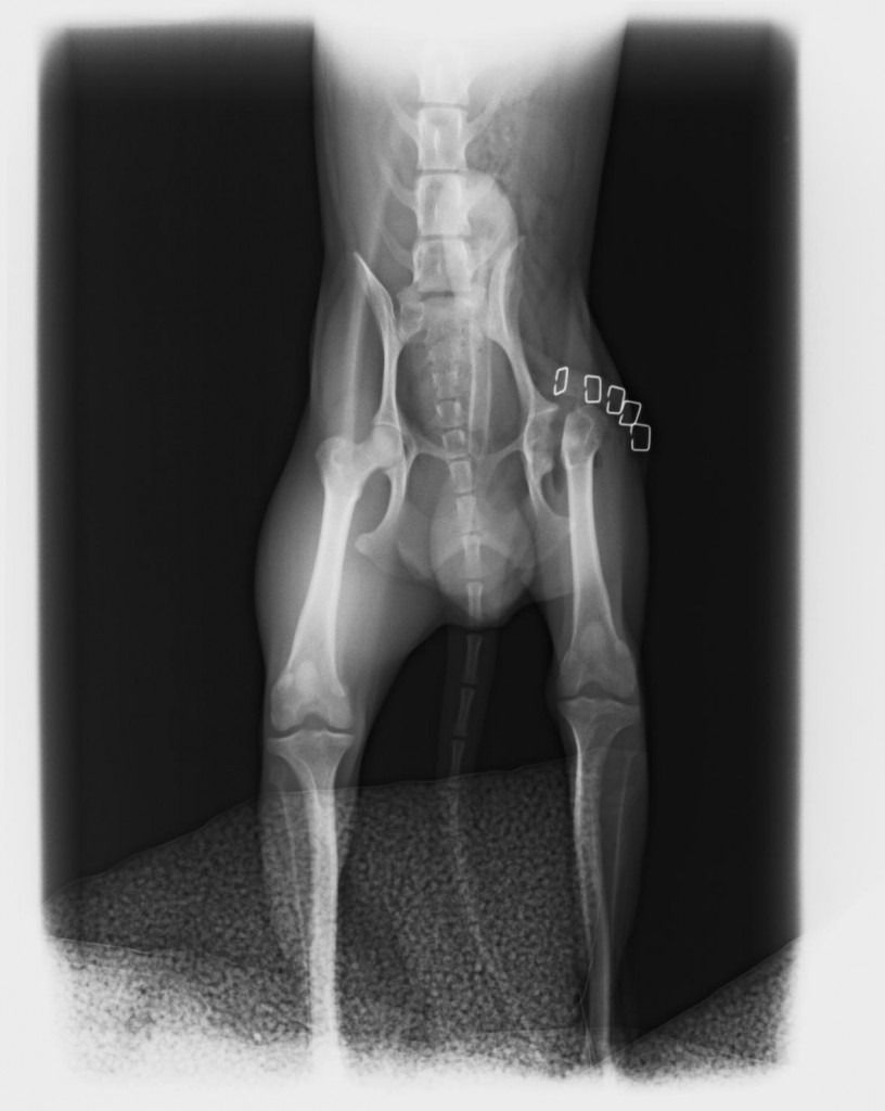
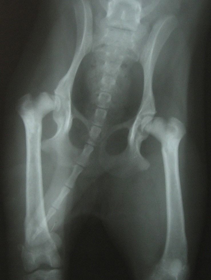
Displasia de cadera
Se trata de una enfermedad hereditaria, que se suele dar en razas como el pastor alemán, labrador, mastín, rottweiler, etc. Suele empezar a dar problemas a partir de los 7-8 meses de edad del cachorro, y es muy importante la detección precoz de la enfermedad.
El tratamiento puede ser
conservador, y si éste no funciona, pensar en un tratamiento quirúrgico. En este caso, cuanto antes hagamos la cirugía, mejor pronóstico va a tener nuestro perro.
Si lo que queremos es prevenir, es muy importante realizar radiografías si son de una raza predispuesta. Además, ofrecemos la posibilidad de realizar un Test Genético para labradores, mediante una muestra de sangre, y nos predice la capacidad de tener y transmitir la enfermedad a la descendencia.

Enfermedad de Legg-Perthes
Consiste en la necrosis avascular de la cabeza del fémur, produciendo mucho dolor en la articulación, cojeras y pérdida de masa muscular. Suele aparecer en animales toy a la edad de 6-7 meses. Se diagnostica por medio de radiografías, y es muy importante operarles lo antes posible, para que su recuperación sea más ràpida.
La operación consiste en hacer una artroplastia por escisión de cabeza y cuello del fémur, y los resultados son muy buenos si se hace una correcta rehabilitación postquirúgica.
Fracturas
Es uno de los problemas más habituales en traumatología, las fracturas de huesos suelen ocurrir después de atropellos, caidas, disparos, golpes, etc.
La gran parte de la fracturas las resolvemos mediante la aplicación de fijación interna, y algunas con fijadores externos, dependiendo de las características de cada situación.
Las fracturas más frecuentes: mandíbula, húmero, cúbito y radio, cadera, fémur, tibia, metacarpianos.


Hernia de disco
Se produce una compresión de la médula espinal en la columna, debido a que un disco intervertebral ocupa un espacio en el canal medular. Pueden producir desde un simple dolor o malestar, a que el animal llegue paralítico.
La mayoría de los casos se resuelven mediante un tratamiento conservador, pero las más graves necesitan de una cirugía, que trata de descomprimir la médula espinal, extrayendo el material de disco que comprime el canal medular.
Para llegar a un correcto diagnóstico, siempre es necesario la realización de un TAC o SCANNER, en el cual vamos a ver la localización exacta de la hernia, para poder planificar la cirugía de forma muy precisa.
El resultado, si el diagnóstico es temprano, suele ser muy satisfactorio y el 90 % de los pacientes operados pueden volver a caminar.
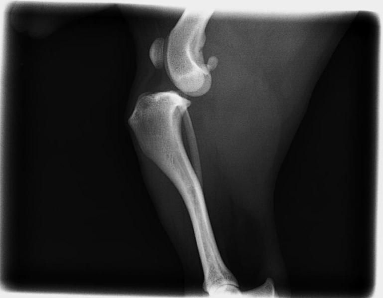
Luxación de rótula
En las razas toy se trata de una patología muy frecuente, produce una cojera intermitente, que con el tiempo será crónica, artrosis y predisposición a que se rompa el ligamento cruzado de la rodilla.
Para corregirlo combinamos varias técnicas quirúrgicas, logrando unas tasas de éxito muy altas con nuestros pacientes
Sutura lateral extracapsular
En perros de talla pequeña, es muy frecuente la rotura de ligamento cruzado de la rodilla, en estos casos aplicamos la técnica de la sutura lateral, con la cual reducimos el movimiento del cajón que produce una inestabillidad en la rodilla.
En este tipo de perros, se trata de una técnica muy eficaz y la recuperación es total al cabo de unas semanas.
TPLO
La TPLO (Tibial Plateau Levelling Osteotomy) y la TWO (tibial wedge ostectomy) son otras técnicas de resolución de rotura de ligamento cruzado muy eficaces en perros de gran talla.
Consiste en hacer un corte en la tibia y nivelar la meseta tibial, aplicando una placa especial que hace que el ligamento cruzado no sea necesario, ya que se neutralizan la fuerzas de empuje tibial.
Frase que atraiga la atención del visitante.
Todos los servicios de traumatología que tenemos para su mascota


















