Este es el texto del párrafo. Haga clic en él o presione el Button Administrar texto para cambiar la fuente, el color, el tamaño, el formato y más. Para configurar estilos de párrafo y título en todo el sitio, vaya a Tema del sitio.
LAS INSTALACIONES MÁS COMPLETAS DE
TALAVERA DE LA REINA
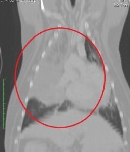
TAC
La tomografía axial computarizada (TAC veterinario), es una técnica de imagen médica que utiliza radiación X, y que permite obtener múltiples imágenes. Facilita el diagnóstico y es una técnica segura para nuestras mascotas.
En Clínica Veterinaria El Parque somos el único centro veterinario con esta tecnología en la provincia de Toledo y alrededores.




Laboratorio propio



Sala de laboratorio completamente equipada con servicio de:
- Hematología
- Bioquímica completa
- Análisis de líquidos
- Urianálisis completo
- Análisis coprológicos
- Citología
- Test diagnósticos de enfermedades infecciosas
- Test de ovulación
- Pruebas de coagulación
Además también ofrecemos otros servicios en colaboración con laboratorios especializados de referencia:
- Endocrinología: enfermedades hormonales.
- Análisis de fármacos: en la sangre de pacientes con tratamientos crónicos.
- Biología molecular: pruebas que detectan el genoma de agentes patógenos en su animal, así como enfermedades genéticas de su perro o gato.
- Anatomía patológica:para conocer la naturaleza exacta de masas tumorales y otros procesos.
Quirófano



Hemos actualizado el área quirúrgica, con dos quirófanos completos e independientes, para permitir realizar dos cirugías de forma simultánea.
En nuestro quirófano podemos realizar las siguientes cirugías, de urgencia o con cita previa:
- Traumatología y ortopedia
- Microcirugía
- Tejidos blandos
- Cirugía oftalmológica
- Exóticos (Conejos)
Consultas




Tenemos cuatro consultas preparadas para realizar exploraciones y pruebas a nuestros pacientes
Traumatología y ortopedia
- Oftalmología
- Felina
- Oncológica
- Vacunación e identificación
- Ecografias
- Citologías
Frase que atraiga la atención del visitante.
La mejor técnica de imagen para su mascota,
